Zahnersatz

Sollte trotz sorgfältigster Pflege mal ein Inlay, eine Teilkronen, Kronen oder Brücken notwendig sein…
kein Problem:
Wir bieten Ihnen alle Möglichkeiten der modernen Zahnheilkunde, um
die Ästhetik und Funktion Ihrer Zähne so naturgetreu wie möglich wiederherzustellen.
Ob es sich um festsitzenden, herausnehmbaren oder kombinierten Zahnersatz handelt, auch auf Implantaten, wir erstellen Ihnen ein individuelles Konzept, welches mit einen zahntechnischen Meisterlabor aus der Region “Hand in Hand“ umgesetzt wird.
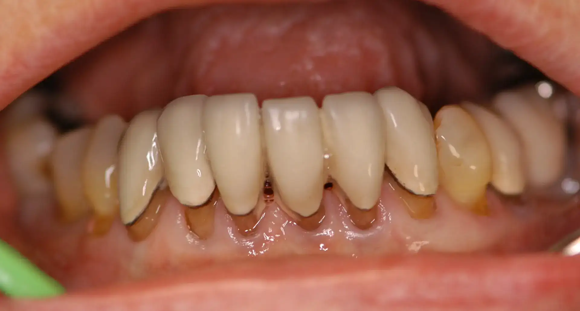
Es gibt verschiedene Möglichkeiten verlorengegangene Zahnsubstanz und ganze Zähne zu ersetzen. Allesamt ästhetisch, qualitativ und funktionell hochwertig:
- Vollkeramische Kronen & kleine Brücken: vollständiger Verzicht auf Metall, keine Gefahr von dunkelen Ränder in ästhetisch wichtigen Bereichen und bei nachgewiesenen Allergien geeignet
- keramisch verblendete Metallkronen und Brücken: Metallkern aus hochwertigsten Goldlegierungen
- Teleskoptechnik/ Doppelkronen: kombiniert/herausnehmbar – ohne sichtbare Klammern
- Zahnersatz auf Implantaten: festsitzend und herausnehmbar
Für höchste ästhetische Ansprüche, Korrektur und Aufbau von Frontzähnen:
Veneers sind hauchdünne, lichtdurchlässige Keramikschalen, welche von Hand im zahntechnischen Labor gefertigt werden. Sie werden auf die Frontflächen der Schneide- und Eckzähne aufgeklebt und erzielen so ein perfektes ästhetisches Ergebnis. Auf diese Weise können sogar leichte Zahnfehlstellungen optisch korrigiert werden. Ein weiterer Vorteil ist, dass die Zähne deutlich weniger beschliffen werden müssen, als dies bei herkömmlichen Kronen notwendig ist.
Non-Prep Veneers oder Keramik-Chips sind eine noch schonendere Variante. Hierbei müssen die Zähne meistens gar nicht oder nur minimal beschliffen werden. Diese Art der Versorgung ist ideal zur optischen Korrektur der Zahnlänge, von leichten Zahnfehlstellungen, oder als hochästhetische Alternative zu großen Frontzahnfüllungen aus Kunststoff.
Wir beraten Sie gerne, ob Veneers für Sie in Frage kommen!

